京昆专家远程诊疗联合救治复杂肺栓塞患者
时间:2021-02-06
浏览量:1842
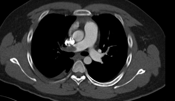
2020年7月,小张(化名)因突发胸痛、呼吸困难、咯血收入云南省阜外心血管病医院(简称云南省阜外医院)肺血管与综合内科住院治疗。后经肺血管造影(CTPA),V/Q肺通气血流灌注核素显像,右心漂浮导管等确诊为:右肺动脉主干巨大血栓、肺动脉高压。并对血栓产生的原因进行了仔细检查,发现他是一个蛋白s,蛋白c缺乏的易栓症病人。
.jpg)
.jpg)
.jpg)
针对患者的血栓右侧为主,须排除肺血管肿瘤的可能,随即进行了PETCT检测,发现患者为为慢性血栓。
肺血管病区高度重视,随即通过网络腾讯会议联系国家心血管病中心,中国医学科学院阜外医院(简称阜外医院)肺血管中心柳志红主任,罗勤主任进行联合会诊。经充分讨论认为患者血栓主要以右肺动脉主干为主,治疗策略首先应行经皮肺动脉内膜剥脱取栓术(PEA)心外科手术,之后终身抗凝,内科进一步观察肺动脉高压改善情况。
肺血管内科联合心外科2病区专家共同商议后决定邀请阜外医院刘盛教授带领京昆团队为他行肺血管内膜剥脱术(BEA)。这是云南省首例经皮肺动脉内膜剥脱取栓术(BEA),手术取得圆满成功,术后病理组织证实为慢性血栓。手术后患者病情得到了明显缓解。
术后患者每日坚持服用抗凝药物治疗,2021年1月,患者感到活动后有胸闷,呼吸困难的问题。再次来到云南省阜外医院肺血管专科就诊。住院后V/Q肺通气血流灌注核素显像提示:左下肺血流与通气灌注不匹配,血栓高度可能。之后行右心漂浮导管与肺动脉造影发现:患者左下肺A6/A8/A9亚段分支以下有血栓形成。
.jpg)
.jpg)
.jpg)
随即再次与阜外医院肺血管中心柳志红主任联系,组织进行网络会诊。阜外医院肺血管中心柳志红主任、熊长明主任和赵智慧主任共同认为,患者为慢性血栓性肺动脉高压,内膜剥脱术后残余肺高压。可以采取内科微导管介入手术,肺动脉球囊扩张术(BPA)进一步改善患者心肺功能情况。
.jpg)
科普小知识
慢性血栓性肺动脉高压(CTEPH)是指急性肺栓塞后病人未及时发现就医或抗凝治疗不充分,造成血栓机化残留堵塞于肺动脉内,引起肺动脉压力升高。目前国际上采取肺动脉内膜剥脱术(BEA))清除亚段肺血管以上至肺动脉主干内的血栓,但残留于几毫米肺小血管内的血栓,外科手术无法剥离断。术后仍有少部分患者残余肺动脉高压或心肺运动功能受限,之后可采用内科介入手术:肺动脉球囊扩张术(BPA)来开通这一部分被血栓阻塞的肺小血管,进一步降低肺动脉高压和改善病人的心肺功能。
.jpg)
今年2月1日在云南省阜外医院内科管委会牛国栋主任和郭涛主任和医务科的帮助与协调下,在阜外医院肺血管中心赵智慧主任网络指导下,云南省阜外医院肺血管病房徐鸥主任,汤银江主任,杨凯和朱磊医生联合冠心病病房唐炯主任,在云南省阜外病医院介入室,对患者进行了BPA手术,开放了左下肺三只被堵塞的血管,手术非常成功,术后患者肺动脉压力下降,病人安返病房。
上一篇: 全球首例!云南省阜外医院成功完成慢性肺栓塞零造影剂介入球囊扩张术
下一篇: 没有了!
阜外院训
敬业 · 仁爱 · 求实 · 攀登
军队文化
对党忠诚,信念坚定,听党指挥,从大局出发,全心全意为人民服务, 注重团队协作,组织纪律严明
协和文化
协和精神:严谨、求精、勤奋、奉献思想内核:崇尚科学、崇尚知识、 专业态度和专业精神表现方式:凝重、内敛、不张扬、重视口碑效应
精英文化
始终以成为行业内精英医院为奋斗目标以【培养国家级心血管病专家为己任】