超声科 - 科室动态 - 正文
多了一个心房?!
时间:2024-12-16
浏览量:10401
三房心是一种罕见的先天性心脏异常,于1868年被首次描述,仅占所有先天性心脏畸形的0.1%至0.4%,大多数患者在婴儿期或儿童期即被诊断出,成人的病例很少,可以涉及左心房或右心房,其定义为心房(左或右)内的异常隔膜,导致向各自的心室流入阻塞,它更常见于左心房。它要么以孤立的经典形式存在,要么可能与简单或复杂的先天性心脏异常有关。男性和女性之间没有发现该疾病发病率有明显差异,文献中也没有描述相关的遗传疾病。在高达80%的儿科人群中,该异常可能与其他先天性心脏病变有关,最常见的是房间隔缺损和肺静脉异位引流。
.png)
三房心的生理后果与附房和真房之间的孔大小直接相关。当相通的阀门小时,会发生梗阻并在心内产生压力梯度,从而表现类似于二尖瓣狭窄,相关症状也与其有关,在婴儿和新生儿中,这种疾病的表现尝继发于狭窄的开口,随后出现从轻度到重度的表现形式不等的呼吸困难,死亡风险也会增加。患有这种疾病的成年人通常没有症状,因为此时相通的阀门没有明显的压力梯度。若有症状尝尝是由于继发于隔膜的钙化和纤维化,其症状包括劳力性呼吸困难和咯血等。

目前已经提出了几种分类方法来描述三房心,最简单的是由Loefller在1949年提出的,它基于分隔左心房的纤维肌膜中开口的数量和大小:第1类定义为没有开口,第2类定义为有一个或多个小开口,第3类定义为有单个大开口。
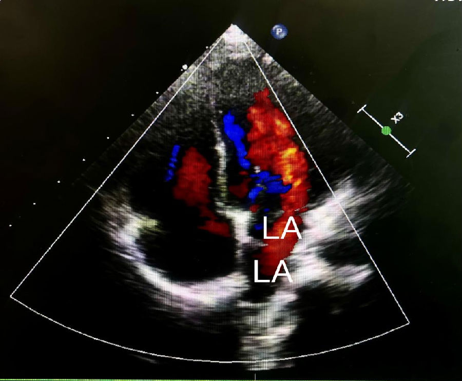
在体检中,有时可以通过听诊检测到心脏杂音。杂音的强度取决于血流通过隔膜的速度。超声心动图(经胸或经食道)是评估三房心解剖学和生理学的主要成像方式,彩色多普勒下的花色血流信号通常表示血流的加速和湍流的出现,这表明可以通过血流通过隔膜时可能有梗阻。经食管超声心动图的成像优于经胸超声心动图,可以明确的诊断三房心,并区分真正的左心房、左心房附属物以及隔膜的形态和梗阻程度。三维超声心动图是一种新的诊断工具,可以给临床提供额外的信息,能够明确隔膜的大小、位置和开口数量等。





三房心的治疗通常取决于症状,无症状的患者中没有压力梯度的左房外隔膜不需要医疗干预,当出现劳力性呼吸困难和肺充血迹象时,利尿剂和地高辛是医学治疗的主要支柱,在这种情况下,通常也需要手术干预。心律失常也应该得到充分治疗,因为它们很容易导致心脏的失代偿。三房心的手术切除可以有效地消除心房的解剖屏障,复发风险非常低。在既往的研究中,鲜有早期幸存者在随访期间需要重新手术或重新干预。总之,三房心的手术矫正效果良好,残余病变或复发的风险极低。伴随的复杂心脏异常的存在可能与不良后果有关。
参考文献:
Fuchs MM, Connolly HM, Said SM, et al. Outcomes in patients with cortriatriatum sinister[J]. Congenital heart disease, 2018, 13(4): 628-632.
Jha A K, Makhija N. Cor triatriatum: a review[C]Seminars in cardiothoracic and vascular anesthesia. Sage CA: Los Angeles, CA: SAGE Publications, 2017, 21(2): 178-185.
Goel A, Viswamitra S, Reddy B N, et al. Computed tomography features of cor triatriatum: an institutional review[J]. The British Journal of Radiology, 2021, 94(1119): 20201252.
Tamkeviciute L, Tumenas A, Binukrishnan S, et al. Multimodality imaging of cor triatriatum sinister in an adult[J]. Radiology: Cardiothoracic Imaging, 2020, 2(6): 200367.
Kim D, Kwon B S, Kim D H, et al. Surgical outcomes of cor triatriatum sinister: a single-center experience[J]. Journal of Chest Surgery, 2022, 55(2): 151.
Rudien V, Hjortsh j C M S, Glaveckait S, et al. Cor triatriatum sinistrum diagnosed in the adulthood: a systematic review[J]. Heart, 2019, 105(15): 1197-1202.
Kilkenny K, Frishman W. Cor triatriatum: a review[J]. Cardiology in Review, 2023,10.1097.
上一篇: 没有了!
下一篇: 心脏超声知多少
阜外院训
敬业 · 仁爱 · 求实 · 攀登
军队文化
对党忠诚,信念坚定,听党指挥,从大局出发,全心全意为人民服务, 注重团队协作,组织纪律严明
协和文化
协和精神:严谨、求精、勤奋、奉献思想内核:崇尚科学、崇尚知识、 专业态度和专业精神表现方式:凝重、内敛、不张扬、重视口碑效应
精英文化
始终以成为行业内精英医院为奋斗目标以【培养国家级心血管病专家为己任】