超声科 - 科室动态 - 正文
二叶式主动脉瓣
时间:2024-02-28
浏览量:10069
概述
二叶式主动脉瓣(bicuspid aortic valve,BAV)是最常见的先天性心脏瓣膜疾病,患病率为1%~2%,男性几乎是女性的3倍。BAV可影响瓣膜功能,从无功能障碍到严重的主动脉狭窄(aortic stenosis,AS)或主动脉瓣反流(aortic regurgitation,AR)。此外,BAV还可伴有大动脉病变、感染性心内膜炎、心肌病或其他先天性疾病。因此,早期准确评估BAV形态及功能对临床上制定干预策略和预防各种并发症至关重要。二叶式主动脉瓣有遗传倾向,因此,《2020 ACC/AHA心脏瓣膜病管理指南》建议对BAV患者一级家庭成员有必要进行超声心动图筛查。

二叶式主动脉瓣患者会有哪些症状?
早期可没有任何症状,当心脏的损害超过自身代偿的能力后就出现了胸闷、气喘、体力下降等症状,部分的患者甚至还会有胸痛、突发晕厥。如果不及时治疗还会引起一系列病理生理的改变,如:长期射血受阻导致的严重心室肥厚、升主动脉在瓣膜狭窄后的瘤样扩张等等,最终导致心力衰竭。部分症状还取决于并发症的类型,例如感染性心内膜炎引起的发烧,疲劳,晕厥,心悸以及由于瓣膜反流或狭窄引起的运动不耐症。心脏听诊发现收缩期早期喀哒声,收缩期射血杂音,如果存在主动脉瓣关闭不全,则显示舒张期递减杂音。

BAV分型
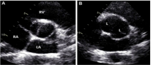
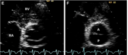
正常主动脉瓣由3个半月瓣组成,称三叶式主动脉瓣(tricuspid aortic valve, TAV),根据瓣膜位置及冠状动脉开口可将其分为左、右和无冠状动脉瓣。而BAV因主动脉瓣发育异常导致相邻两个半月瓣形成融合瓣,部分融合瓣上可见融合嵴,使瓣叶不对称。
Sievers分型
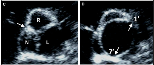
Sievers分型广泛应用于临床,根据融合嵴的数量将BAV分为3型:Type 0型(无嵴)、TypeⅠ型(1个嵴)和TypeⅡ型(2个嵴),其中最常见的是TypeⅠ型,约占90%。根据嵴的空间位置又分为左右冠窦融合型(RL型)、右无冠窦融合型(RN型)、左无冠窦融合型(LN型),其中RL型最常见,约占80%。

最新分型
最新国际共识认为仅基于外科角度的Sievers分型仍有局限性,因此新的分型为:融合型、双窦型和部分融合型。其中融合型最常见,占90%~95%,相当于TypeⅠ型。双窦型BAV并不常见,占5%~7%,由大小、形状大致相同的两个瓣叶构成,分前侧对侧表型和前后表型(图b)。部分融合型的流行率尚不清楚,表现为典型的三叶瓣膜,但在连合底部可见<50%的瓣尖融合。至于Sievers分型中的Type Ⅱ型,共识认为称单叶瓣较为合适。

融合型

R-L

R-N

R-N


双窦型



治疗
对于主动脉瓣轻度狭窄,症状不明显的患者,可采取内科保守治疗,主要是对症治疗,如抗心律失常、强心、利尿、抗心绞痛治疗等。如果出现严重的瓣膜功能障碍并出现症状,则需要对二叶式主动脉瓣进行干预。治疗包括球囊扩、外科手术修复及瓣膜置换等。
参考文献
Michelena HI. Speaking a common language: the international consensus on bicuspid aortic valve nomenclature and classification. Ann Cardiothorac Surg. 2022 Jul;11(4):402-417.
王代娇,宋宏宁,陈金玲.二叶式主动脉瓣的超声心动图评估现状及进展[J].心血管病学进展,2023,44(10):897-900
上一篇: 【科普】负荷超声心动图
下一篇: 超声检查时“涂”的是什么
阜外院训
敬业 · 仁爱 · 求实 · 攀登
军队文化
对党忠诚,信念坚定,听党指挥,从大局出发,全心全意为人民服务, 注重团队协作,组织纪律严明
协和文化
协和精神:严谨、求精、勤奋、奉献思想内核:崇尚科学、崇尚知识、 专业态度和专业精神表现方式:凝重、内敛、不张扬、重视口碑效应
精英文化
始终以成为行业内精英医院为奋斗目标以【培养国家级心血管病专家为己任】