核医学科 - 科室动态 - 正文
这种“孤儿病”,您了解了吗?
时间:2024-11-27
浏览量:11319
转甲状腺素蛋白心肌淀粉样变(ATTR-CM)是一种较为罕见心脏的疾病,因其死亡率高,故又叫:“孤儿病”。ATTR-CM由不稳定的转甲状腺素蛋白(TTR)四聚体解离成单体后错误折叠,最终以淀粉样物质沉积于心肌间质而引发的浸润性心肌病。
心脏淀粉样变可简单分为:免疫球蛋白轻链型心脏淀粉样变(AL-CM);ATTR-CM以及其他前体蛋白沉积引起的心脏淀粉样变。AL-CM和ATTR-CM占所有心脏淀粉样变的95%以上。ATTR-CM的临床表现多样性,包括:运动耐力下降、疲劳、呼吸困难、体重减轻、外周水肿、出血倾向和周围神经病变表现,并且这些症状大多是非特异性的。心力衰竭是最常见的临床表现(美国:30.3%;日本:42.0%),其次是房颤(21.9%,美国)和心肌病(21.7%,美国)。
诊断方法:
心电图:肢体导联低电压同时左心室肥厚的电结构分离现象是心脏淀粉样变的特征性表现之一[4],但是QRS电压正常并不能排除心脏淀粉样变。
心脏超声:心脏淀粉样变的经典超声心动图检查结果:左心室增厚、左心室容积变小、左心室舒张充盈受限、心房扩大和心包积液,心肌外观呈“颗粒状”,心脏淀粉样变患者的左心室纵向整体应变呈基底部明显受损而心尖部长轴接近正常的现象,称为“心尖保留”[5],在牛眼图上表现为“草莓征”,其敏感性92%,特异性82%,并提示预后不良。
心脏磁共振:心脏淀粉样变的心肌延迟强化具有明显的特征,主要表现为心内膜下弥漫性环形强化,并不遵循冠状动脉分布区,严重者可呈现心肌全层LGE[6]。组织定量成像技术的出现,为CMR诊断心脏淀粉样变提供了更加精准的依据。
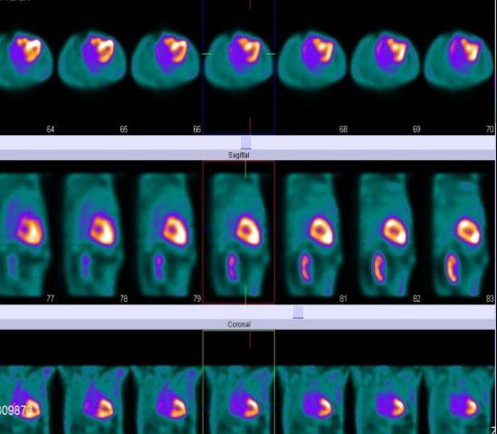
核素显像:放射性示踪剂锝99m-焦磷酸盐(99Tcm-PYP)心脏显像:视觉评分法(Perugini)评级分2、3级,如血清/尿液免疫固定电泳和血清游离轻链检查结果阴性,99Tcm-PYP显像诊断ATTR-CM的特异性和阳性预测值均为100%[7]。99Tcm-PYP显像成为ATTR-CM最重要的无创诊断方法。不仅如此,在心脏超声或CMR检查结果出现异常之前,即ATTR-CM的早期阶段,99Tcm-PYP显像就能识别出99Tcm-PYP在心肌组织的异常浓聚,为ATTR-CM的早期诊断和治疗提供依据。
.png)
图1 SPECT/CT99Tcm-PYP平片显像,Perugini评级:3级


图2 SPECT/CT99Tcm-PYP断层显像,心肌明显摄取
心肌活检:作为ATTR-CM诊断的金标准,心肌活检是通过采集心肌标本,并进行处理,免疫组化、免疫荧光以及蛋白质质谱分析明确心肌是否存在淀粉样蛋白的沉积,可进一步明确淀粉样蛋白的类型。
ATTR-CM治疗研究进展:随着对ATTR-CM发病机制的深入研究,已有多款药物问世或正在进行临床研究,这些药物将给ATTR-CM患者的治疗带来新的曙光:
氯苯唑酸:氯苯唑酸(tafamidis)是一种选择性TTR四聚体稳定剂,其主要作用机制是可与TTR结合,稳定TTR四聚体结构,减少TTR的解离,从而抑制淀粉样物质的形成和沉积。
Acoramidis:acoramidis(AG10)它旨在模拟具有保护作用的TTR T119M突变的功能,维持TTR蛋白的正常四聚体构象,防止有毒性的淀粉样蛋白产生。
减少TTR蛋白合成的药物:siRNA药物:Onpattro(patisiran)是一种脂质复合物注射液已经由美国FDA批准用于ATTR引起的周围神经病变,即转甲状腺素蛋白心脏淀粉样变多发性神经病(transthyretin amyloid polyneuropathy,ATTR-PN)。Onpattro将siRNA包裹在脂质纳米颗粒中,通过输注治疗将药物直接递送至肝脏,以减少TTR的产生。
反义寡核苷酸药物:Tegsedi是靶向TTR的mRNA的反义寡核苷酸药物,其给药方式为皮下注射。该药物通过靶向ATTR的mRNA来减少TTR蛋白的产生。
目前,ATTR-CM的发病机制、诊断和治疗得到了越来越多的关注。随着多模态影像技术的发展,ATTR-CM的检出率不断提高,越来越多的患者在疾病的更早期得到了确诊,在治疗方面,随着各种小分子药物的不断问世,ATTR-CM的治疗策略正在从最初的对症支持治疗发展为精准靶向治疗。随着临床研究结果的不断发布,期待将来有更多的ATTR-CM患者能从药物治疗中获益。
参考文献:
[1]田庄, 张抒扬. 转甲状腺素蛋白淀粉样变心肌病的治疗 [J] .中华心血管病杂志,2020,48 (01): 86-89.
[2]2024 ESC-Patient characteristics and incidence of cardiac amyloidosis: an observational study in the UK clinical setting using electronic health records.
[3]2024 ESC-Contemporary description of cardiac manifestations in ATTR amyloidosis: results from the multi-country OverTTuRe studyATTR.
[4]Thibaud D, Bruno C, Hagège Albert A, et al. Prevalence and clinical
phenotype of hereditary transthyretin amyloid cardiomyopathy in
patients with increased left ventricular wall thickness. Eur Heart J,
2016, 37(23): 1826-1834.
[5]Barros-Gomes S,Williams B,Nhola LF,et al. Prognosis of light chain
amyloidosis with preserved LVEF: added value of 2D speckle-tracking
echocardiography to the current prognostic staging system[J]. JACC CardiovascImaging,2017,10( 4) : 398-407.
[6]Fontana M,Pica S,Reant P,et al. Prognostic value of late gadolinium
enhancement cardiovascular magnetic resonance in cardiac amyloidosis[J].
[7]孙晓昕,方纬,张宇辉.(99m)Tc-焦膦酸盐单光子显像:心脏淀粉样变分型诊断的新应用进展[J].心血管病学进展,2023,44(01):21-24+29.DOI:10.16806
Circulation,2015,132( 16) : 1570-1579.
[8]汪月,张俊峰.转甲状腺素蛋白心脏淀粉样变的诊断与治疗研究进展[J].实用心电学杂志,2024,33(03):225-231.DOI:10.13308.
下一篇: “花瓣儿心”背后的秘密
阜外院训
敬业 · 仁爱 · 求实 · 攀登
军队文化
对党忠诚,信念坚定,听党指挥,从大局出发,全心全意为人民服务, 注重团队协作,组织纪律严明
协和文化
协和精神:严谨、求精、勤奋、奉献思想内核:崇尚科学、崇尚知识、 专业态度和专业精神表现方式:凝重、内敛、不张扬、重视口碑效应
精英文化
始终以成为行业内精英医院为奋斗目标以【培养国家级心血管病专家为己任】