心律失常二病区 - 科室动态 - 正文

无触心脏 生活如常——猝死预防新选择

时间:2023-02-21

浏览量:18705

近日,云南阜外心血管病医院心律失常中心郭涛团队成功完成又一例两切口皮下植入式心律转复除颤器(简称全皮下ICD或SICD)植入术。云南阜外心血管病医院心律失常中心始终坚持以最优化治疗为原则服务患者,从常规的三切口到两切口的成功,最大化程度减少了患者恢复时间及并发症发生可能。又一例二切口手术的成功,亦标志着云南阜外心血管病医院成为全省皮下ICD植入经验最丰富、该手术能力储备最全面的中心。

患者肖某,男,53岁,BMI:27,因反复气促2年余,20余天前行走过程中突感心慌头晕,数秒后晕厥倒地,持续半分钟后苏醒。近期又自觉心慌胸闷,现为求进一步治疗就诊于云南阜外心血管病医院。完善超声、动态心电图及DX光片提示:心脏扩大,EF值:21%,短阵室速。术前诊断:晕厥史,扩张型心肌病,阵发性AF,VT,NYHA II级。

经过会诊,根据患者病史、相关检查结果及目前症状,有植入TVICD/SICD指征。结合患者及家属意愿,同意行皮下ICD植入术。

手术由心律失常中心资深术者刘可医生主刀,在心律失常中心团队默契配合下,从消毒、铺巾、局麻——根据标记位置做剑突旁切口、脉冲发生器囊袋——隧道针打隧

道过电极及固定电极——连接脉冲发生器,缝合伤口等每一个步骤都尽善尽美,术视野清晰,术程顺利,安返病房

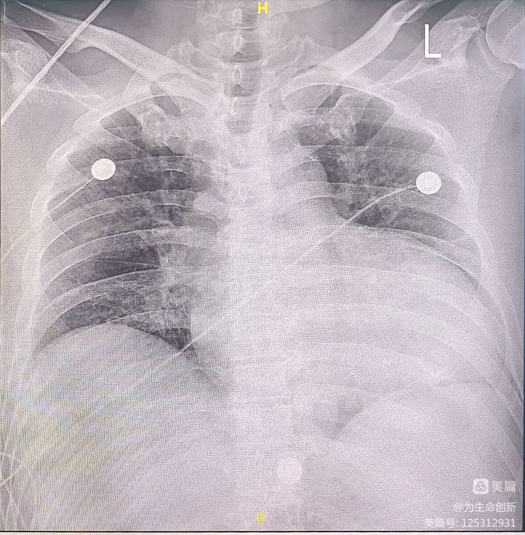
术后影像:电极贴靠良好

心脏性猝死(sudden cardiac death,SCD)是心血管病死亡的首要原因,植入型心律转复除颤器(ICD)是目前最为有效的预防SCD的治疗手段。传统的经静脉植入型心律转复除颤器(transvenous ICD,TV-ICD)由于经静脉植入的特点,除颤导线相关的短期和长期并发症不容忽视。皮下植入型心律转复除颤器(subcutaneous ICD,S-ICD)为减少或避免TV-ICD并发症而设计,是第一个不在心腔内植入导线而具有感知和除颤功能的心脏电子器械,也是预防和降低SCD风险的一种新方法,其操作相对简单,导线相关并发症较TV-ICD明显减少,且有效性和安全性得到了证实。2016年在中国正式应用以来,临床上越来越多猝死高风险患者接受了S-ICD植入。截止目前全球已植入突破10w例。无触心,更自由!

SICD适应症指南

S-ICD的脉冲发生器和导线均植入皮下、不接触心腔,但能提供电击后7.5ms脉宽、200mA输出,最长30s起搏。2015ESC第一次将S-ICD写入指南:“对于无需起搏、CRT或ATP治疗的ICD适应证患者,S-ICD应当被考虑作为经静脉ICD的替代治疗”。目前《2017年AHA/ACC/HRS室性心律失常和心脏性猝死指南》对于存在ICD植入指征,且没有足够的静脉通路或高感染风险,同时不需要也预期不需要心动过缓起搏或终止室性心动过速起搏或心脏再同步治疗的患者,推荐植入S-ICD(推荐级别I类);对于存在ICD植入指征,同时不需要也预期不需要心动过缓起搏或终止室性心动过速起搏或心脏再同步治疗的患者,推荐植入S-ICD是合理的(推荐级别IIa)。2021年《植入型心律转复除颤器临床应用中国专家共识》也参考了该指南。

心律失常中心专家团队由医科院阜外医院派驻专家,及郭涛主任等知名省内专家组成,是内科系统成立最早的诊疗中心之一,也是省内心律失常领域唯一的专门研究机构和临床诊疗中心。


阜外院训

敬业 · 仁爱 · 求实 · 攀登

军队文化

对党忠诚,信念坚定,听党指挥,从大局出发,全心全意为人民服务, 注重团队协作,组织纪律严明

协和文化

协和精神:严谨、求精、勤奋、奉献思想内核:崇尚科学、崇尚知识、 专业态度和专业精神表现方式:凝重、内敛、不张扬、重视口碑效应

精英文化

始终以成为行业内精英医院为奋斗目标以【培养国家级心血管病专家为己任】

患者服务

预约挂号

出诊信息

重点科室

在线留言

医院地址

0871-65199777

返回顶部