心外科一病区 - 科室动态 - 正文
多支血管重度狭窄,70岁老人的“心”通道
时间:2022-11-16
浏览量:14788
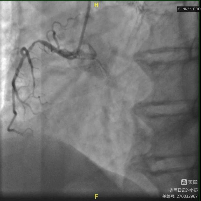
2022年10月6日,来自云南省大理州70岁的常老爷子,因为心脏冠状动脉多支血管重度狭窄到我院就诊,冠脉造影提示:前降支近端狭窄70%。中段支架内狭窄70%,第一对角支开口狭窄70%,回旋支中段狭窄99%,远端狭窄90%,第一钝缘支狭窄65%。右冠状动脉近端狭窄85%;
.png)
心脏彩超:左心室扩大(LVDD57mm),节段室壁运动异常;动态心电图检查发现频发室性过早搏动,呈二联律;主动脉CT:主动脉多发溃疡板块形成。
2022-10-11北京阜外医院驻昆专家张岩主任医师主刀为常老爷子行非体外循环下的冠状动脉旁路移植术,一共搭桥4根,桥血管流量测定共125ml,术后即时患者室性过早搏动消失,术后患者呼吸、循环稳定,并于术后第二天从监护室转回普通病房。根据牛津大学Lei Ming教授2018年发表的论文“Modernized Classification of Cardiac Antiarrhythmic Drugs”,新型抗心律失常药物分类,VII类抗心律失常药物属于心肌缺血引起的心肌重构、瘢痕形成导致的心律失常,冠状动脉搭桥术后心肌灌注改善,以及冠心病二级预防的他汀类药物、肾素-血管紧张素-醛固酮系统拮抗剂有助于改善该类心律失常。
上一篇: “果冻”样瘤竟是定时炸弹?
下一篇: 糖尿病患者更容易得心血管疾病吗?
阜外院训
敬业 · 仁爱 · 求实 · 攀登
军队文化
对党忠诚,信念坚定,听党指挥,从大局出发,全心全意为人民服务, 注重团队协作,组织纪律严明
协和文化
协和精神:严谨、求精、勤奋、奉献思想内核:崇尚科学、崇尚知识、 专业态度和专业精神表现方式:凝重、内敛、不张扬、重视口碑效应
精英文化
始终以成为行业内精英医院为奋斗目标以【培养国家级心血管病专家为己任】