心外科三病区 - 科室动态 - 正文
10月,17台主动脉夹层手术!
时间:2022-10-31
浏览量:12794
10月,17台主动脉夹层手术!
主动脉夹层一种致命的心血管疾病并伴随极高的并发症和死亡率。如果不及时进行治疗,急性主动脉A型夹层在24小时内的死亡率达33%,48小时内则达到50%。2周内未经诊断的升主动脉夹层死亡率会达到75%,如果不及时进行治疗3月后会升到90%。复杂性主动脉夹层的自然预后则更差,外科手术治疗是此类疾病的有效治疗手段。
.png)
主动脉夹层,常以突发胸背部撕裂样剧痛为首发症状,可有胸闷、全身大汗、乏力、头晕,甚至晕厥、出现大小便失禁等症状。一旦出现相关症状,家人需高度警惕该方面疾病,并及时拨打120送至心血管病专科诊疗中心!
主动脉夹层,最需要争取的就是时间。及时用药并有效控制心率、血压,及时完善检查及心血管外科专科评估,及时手术治疗,至关重要!
.png)
.png)
病人至急诊就诊,一旦急诊心脏超声、主动脉CT提示主动脉夹层,并存在血性心包积液,那么,该患者的术前准备紧凑性及进入手术室手术的画面,可能会是“x2.0”甚至更高倍数的播放速度。
主动脉夹层(未切开)
.png)
主动脉夹层(切开主动脉)
.png)
主动脉夹层撕裂内膜及血管壁,以及假腔内血栓
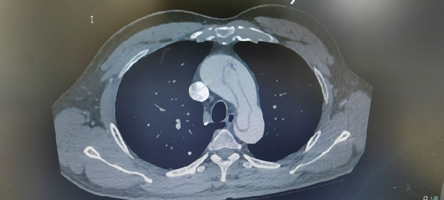
.png)
术后复查CT

外科三病区王小啟教授团队在手术
一个月,合计31天,17台主动脉夹层手术!10个病人已康复出院,其余患者也将在下周内逐步康复出院!
云南省阜外医院心外科三病区,在医院领导关心指导下,在院长助理、外科管委会主任王小啟教授带领下,以顶尖心血管专科技术、极高病情重视度、全员待命紧张度,严阵以待解决人民群众主动脉大血管急危重症!用心守护健康,我们是认真的!
上一篇: 大血管的“拆弹专家”
下一篇: “6cm”的新天地
阜外院训
敬业 · 仁爱 · 求实 · 攀登
军队文化
对党忠诚,信念坚定,听党指挥,从大局出发,全心全意为人民服务, 注重团队协作,组织纪律严明
协和文化
协和精神:严谨、求精、勤奋、奉献思想内核:崇尚科学、崇尚知识、 专业态度和专业精神表现方式:凝重、内敛、不张扬、重视口碑效应
精英文化
始终以成为行业内精英医院为奋斗目标以【培养国家级心血管病专家为己任】