心外科三病区 - 科室动态 - 正文
肺动脉血栓
时间:2022-04-13
浏览量:11557
2022年2月28日,53岁的熊大爷和去年几乎同一个时间,住进了我院肺血管与综合内科病区。回想去年,不慎跌倒后由于右下肢软组织损伤卧床一周多,活动后突发胸闷气短、头痛头晕,入院检查后发现左右肺动脉多发肺栓塞,经过我院肺血管与综合内科病区的精心诊治,熊大爷的症状明显改善。
出院后虽然遵从医嘱按时吃药,但胸闷气促依旧时刻充斥着熊大爷的生活。这是因为转为慢性肺栓塞后,仅通过奥西呱和华法林等药物以很难逆转已有的肺动脉栓子,且对于限制栓子再次形成的能力也十分有限。慢性肺栓塞是以慢性呼吸困难和右心功能不全为主要表现的,严重者甚至出现低氧血症、紫绀、下肢静脉病变等表现。慢性血栓栓塞性肺动脉高压(CTEPH)是静脉血栓栓塞性疾病的并发症。与其他引起肺动脉高压的原因不同,CTEPH 有可能通过手术(血栓内膜切除术)或球囊肺血管成形术治愈。
.png)
.png)
.png)
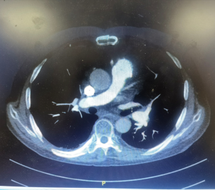
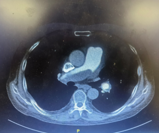
影像学在 CTEPH 诊断中起着核心作用。肺闪烁扫描、计算机断层扫描和磁共振血管造影等技术的结合提供了非侵入性的解剖和功能信息。常规肺血管造影 (CPA) 和右心导管 (RHC) 被认为是诊断 CTEPH 的金标准方法。目前外科的肺动脉血栓内膜剥脱术是治疗慢性肺栓塞的首选方法,疗效明显,但由于其手术难度高风险大,多数综合医院的心脏外科并未广泛开展该项手术。而内科的球囊扩张术也能从一定程度改善患者长期慢性低氧的症状,是目前云南地区慢性肺动脉栓塞患者在药物治疗不理想后首选的干预方案。
.png)
.png)
入院后,徐鸥主任第一时间与心外三病区张恒主任联系,对熊大爷的手术指征进行全面评估。于3月3日转入心外三病区后,先后进行了冠状动脉造影、先心病导管+造影,肺动脉增强CTA,心脏超声等一系列相关检查,提示主肺动脉、左右肺动脉干及双肺下叶肺动脉干管腔内多发充盈缺损影,左肺上叶、右肺中叶、下叶多发肺动脉分支官腔纤细、闭塞。经过肺血管与综合内科病区徐鸥主任和心外科病区王小啟主任经过多学科综合讨论下指定了详尽的手术方案,十余日的精心术前准备,于3月17日顺利进行了肺动脉内膜剥脱术,肺动脉血栓清除术:术中采用全身低温体外循环,期间行深低温停循环2min,使用剥离子仔细分离肺动脉内膜及机化血栓直至右侧肺叶动脉分叉处,并将血栓及内膜整块剥出。手术顺利,熊大爷于术后第4日状态平稳从SICU转回病房,氧分压(P02)从本次入院51.5mmHg升至出院时67.7mmHg,血氧浓度(SO2)吸氧后从85.4%升至92.6%,超声示肺动脉高压(重度)降至轻度肺动脉高压,于4月3日顺利出院。


目前,云南省阜外医院心脏外科三病区与肺血管综合内科建立深度合作,从入院、诊断到治疗形成了一套系统的标准化流程。肺动脉内膜剥脱术、肺动脉血栓清除术作为常规术式以造福诸多深受慢性肺动脉高压困扰的患者,同时充分发挥区域医疗的优势,全面提高区域内慢性肺动脉高压的诊疗水平。
上一篇: “6cm”的新天地
下一篇: 成形环植入术后抗凝药物的调整方法
阜外院训
敬业 · 仁爱 · 求实 · 攀登
军队文化
对党忠诚,信念坚定,听党指挥,从大局出发,全心全意为人民服务, 注重团队协作,组织纪律严明
协和文化
协和精神:严谨、求精、勤奋、奉献思想内核:崇尚科学、崇尚知识、 专业态度和专业精神表现方式:凝重、内敛、不张扬、重视口碑效应
精英文化
始终以成为行业内精英医院为奋斗目标以【培养国家级心血管病专家为己任】