介入导管室 - 科室动态 - 正文
带你了解真实的冠脉介入手术
时间:2023-01-03
浏览量:17373
1、为什么要做冠脉介入手术?
我们的心脏是一个强而有力的泵,它通过复杂的动脉和静脉网将血液输送到全身重要器官。心脏泵工作的正常运行需要冠状动脉为心肌不断的供应血液。一但冠状动脉出现病变就会影响到心脏泵的工作,甚至危及生命。

冠状动脉环绕在我们的心脏表面,心脏由心肌构成。冠状动脉为心肌输送血液,是心脏的生命线。当冠状出现粥样硬化时管腔狭窄或堵塞,或因某种刺激使冠状动脉痉挛时,都会导致心肌缺血、缺氧或坏死,导致心脏不能正常工作,我们称其“冠心病”。主要表现为心绞痛,严重时可出现心肌梗死甚至猝死。

冠状动脉粥样硬化是由于胆固醇沉积在血管壁造成的。随着粥样硬化斑块逐渐增大,管腔会变得越来越狭窄,血流不再通畅。这时我们会有胸闷、心绞痛等症状出现。当管腔面积狭窄超过75%时,心肌供血会受到明显影响,此时就需要做冠脉介入手术了,尽快改善心肌供血,并缓解心绞痛症状。
.png)
还有一种情况,就是冠状动脉内有些斑块很不稳定,当遇到寒冷、情绪激动等刺激,甚至在没有任何诱因情况下出现破裂。斑块破裂后局部很快形成血栓,阻塞血管,导致心肌供血急剧减少,因此心梗/猝死。此时需要立即行冠脉介入手术,将阻塞的血管打通,恢复心肌供血。

因此,冠心病患者做冠脉介入手术主要有两个作用:一是改善心肌供血,缓解心绞痛症状;二是在发生急性心肌梗死是,挽救尚未坏死的缺血心肌,抢救生命。
.png)
2.冠脉CTA和冠脉造影有哪些区别?
冠脉CTA是一种费用相对较低,不需要住院的无创检查手段,而冠脉造影需要住院才能检查,费用相对较高。冠脉CTA可以敏感判断冠状动脉有无粥样斑块,但在狭窄程度方面只能做到“半定量”,也就是给出一个大致范围,在判断血管是否具有狭窄的准确率大概只有60%-70%左右,尤其当患者心率较快、有心律不齐以及血管有比较严重的钙化/迂曲时,冠脉CTA的准确率会受到很大的影响,并且冠脉CTA为静态图像,不能评价冠脉血流情况。冠脉造影为动态影响,且显示的冠脉更加清晰,必要时还可以在检查过程中进行功能学分析和腔内影像学评估,因此被认为是诊断冠心病的“金标准”。而且冠脉造影在发现有冠脉严重狭窄时可同时进行支架植入等治疗。
3.冠脉介入手术怎么做?
冠脉介入手术在我国已开展30余年,只有在有资质的医院,由经验丰富的医师进行操作,手术的成功率高,手术效果好。
手术过程:
a.只需要较小的切口,从病人大腿根部股动脉或手腕处桡动脉(视病人情况而定)插入一根细细的导管。
.png)
b.导管通过导丝指引进入主动脉,到达冠状动脉开口。在X光下注射造影剂,直接观察冠状动脉的血流情况。
.png)
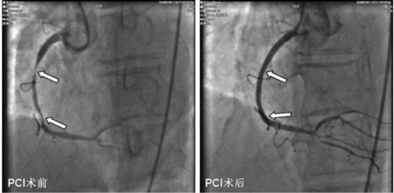
c.造影显示血管病变。如果造影显示血管狭窄到一定程度,医生会建议您做球囊扩张或支架植入术。


d.扩充球囊使冠状动脉管腔增大,血流改善。


e.支架植入血管后,扩张直至撑开血管腔。

回撤器械,支架将永远留在病变血管内,以保证血管通畅,增加血供。

4.支架是什么样的,目前有哪些类型?
a.药物洗脱支架
目前被临床广泛应用,其结构为网状,可有效防止血管弹性回缩。其表面包裹一层药物,这些药物可以缓慢释放,发挥药效,从而显著降低支架处再狭窄的发生率。

b.可降解支架
按照材料分类,生物可降解支架主要分为可吸收高分子支架和可降解金属支架两大类。
与药物洗脱支架相比其主要优势在于可完全降解,降解后血管内腔的面积会增大,支架术后发生再狭窄率降低,当血管再次发生堵塞时,能够重复植入支架进行治疗。但对于患有冠状动脉迂曲病变、钙化病变、长病变以及累积分支病变的患者则不适合植入可降解支架。能否植入可降解支架还应由医生对病情进行综合评估。
5.哪些人需要做冠脉介入手术?
冠心病患者是否采用冠脉介入治疗,需要根据临床获益和风险进行综合评估后实施。通常医生会根据您的临床症状、冠状动脉造影检查结果、介入治疗的难度、可能出现的并发症、远期疗效和经济费用等各个方面进行综合分析,从而制定最有利您康复的治疗方案。
6.什么情况下适合做冠脉介入手术?
通过饮食、生活方式调整和规范化的药物治疗仍然反复出现心绞痛症状

发生急性心肌梗死

病变部位管腔狭窄程度大于75%以上

冠脉介入(支架)治疗后发生再狭窄

外科冠脉搭桥术后早期出现心肌缺血

7.什么情况下不适合做冠脉介入手术?
有出血性疾病(如胃溃疡、胃出血、新近脑出血等)等不能应用抗血小板和抗凝药物治疗
病变部位或其附近血管弯曲严重,支架难以放置到位
直径小于2毫米的小血管病变
多支冠状动脉受累,首选冠状动脉搭桥手术
8、冠脉介入手术的注意事项?
a.术前注意事项
了解手术目的、过程及疗效,保持稳定情绪

进行深呼吸、憋气、咳嗽训练以便于术中配合手术顺利进行;进行床上排尿、排便训练便于术后必要时使用。

配合以上完成常规检查,如心电图、血/尿/便/肝肾功能等;遵医嘱服药药物,其中阿司匹林、氯吡格雷/替格瑞洛和他汀类药物尤其重要。

医生会提前了解您的双侧上肢桡/尺动脉脉搏动情况,若搏动较好会选择穿刺桡动脉,否则穿刺肱动脉或股动脉。

b.术中注意事项
手术仅对穿刺部位进行局部麻醉,整个手术过程中您都是清醒的,除了打麻药时有些疼痛外,您不会有什么痛苦。
当球囊在血管狭窄处扩张或置入支架过程中,可能会有轻微的心绞痛样不适,但很快就会过去的。
术中若想咳嗽请提前告知医生;若有心慌、胸闷等任何不适立即告知医生。
c.术后注意事项
手术结束返回病房医生会为您进行24小时心电、血压及氧饱监测。
若您的穿刺部位在桡/尺动脉(手腕部),需要压迫止血,注意勿弯曲手腕并适当抬高,不需要卧床;若您的穿刺部位在股动脉(腹股沟处),则需要绷带加压包扎后,沙袋压迫6-8小时,术后平卧24小时,防止出血。


冠脉介入治疗时会给您注入造影剂,术后为了加速造影剂的排泄,需要多饮水,建议术后4小时排尿800毫升。若术后因其他原因不能饮水,应配合医务人员进行输液。
术后24小时后。逐渐增加活动量。若您的穿刺部位在腹股沟处,起床、下蹲时动作应缓慢,不要突然用力,之后慢慢增加活动量及难度。
术后医生会给您继续服用抗血小板药物,同时根据情况加用抗凝药物治疗。注意观察有无出血倾向,如伤口渗血、牙龈/鼻出血、尿血、便血、呕血等。同时还要口服调节血脂药物,抗心绞痛药物等,若有糖尿病和高血压,一定要通过药物控制好血压和血糖!


坚持健康的生活方式很重要

最后,为了您的健康,定期复查是必不可少的!

云南省阜外心血管病医院
云南省阜外心血管病医院介入导管室是云南省唯一一个介入手术独立科室,也是云南省介入手术培训基地。科室内护士及技术人员在中国医学科学院阜外医院接受过心血管介入专业培训,掌握了国内乃至国际介入先进技术,是云南省阜外心血管病医院介入中心的骨干力量,并有中国医学科学院阜外医院介入导管室强大的护理及技术人员团队作支持。
目前开展的项目包括:冠状动脉造影,冠状动脉支架植入术,动脉导管未闭封堵术,全超声下房间隔缺损封堵术,单纯超声引导二尖瓣球囊扩张术,肺动脉瓣球囊扩张术,室间隔缺损封堵术,冠状动脉瘘栓塞术,心脏起搏器植入,无导线起搏,电生理检查及射频消融术、激光拔电极、TAVI手术、经皮二/三尖瓣钳夹术等及内外科杂交手术。

文 / 介入导管室 刘融、刘明明
编 / 党政综合办 吴佳倚
上一篇: 小小心电图,能起大作用
下一篇: 关于高血压的六大谣言,看看你中招没
阜外院训
敬业 · 仁爱 · 求实 · 攀登
军队文化
对党忠诚,信念坚定,听党指挥,从大局出发,全心全意为人民服务, 注重团队协作,组织纪律严明
协和文化
协和精神:严谨、求精、勤奋、奉献思想内核:崇尚科学、崇尚知识、 专业态度和专业精神表现方式:凝重、内敛、不张扬、重视口碑效应
精英文化
始终以成为行业内精英医院为奋斗目标以【培养国家级心血管病专家为己任】