呼吸与肺血管病区 - 科室动态 - 正文
阜外医院京昆专家联手成功治疗肺大动脉炎(Pulmonary Takayasu Arteritis,PTA)
时间:2022-09-08
浏览量:16991
肺大动脉炎(Pulmonary Takayasu Arteritis,PTA)为大动脉炎累及肺动脉,引起肺动脉狭窄与闭塞,近一半的PTA患者出现肺高血压(PTA-PH),列为第四大类肺高血压。目前仅采用糖皮质激素与免疫抑制剂因肺小动脉阻塞,药物不能达到治疗血管,效果不佳,自然预后较差。
经皮肺动脉球囊扩张术(BPA)与支架置入结合能够开放狭窄与闭塞肺小动脉,改善肺血流动力学,降低肺动脉压力,降低死亡率,是一种潜在的治疗方法。
患者男性,46岁 ,确诊肺大血管炎合并肺动脉高压已4年 ,长期口服糖皮质激素治疗,肺动脉广泛性狭窄,曾多次到省外行微创肺动脉球囊扩张术(BPA)治疗,近期因疫情和经济负担等原因跨省就医困难,得知云南省阜外心血管病医院肺血管病房开展BPA手术前来就诊。
肺动脉增强CT检查发现: 右上肺动脉主干重度狭窄,狭窄处仅1.5mm。
.png)
肺血管病房北京阜外医院赵研主任和王子娟护士长为患者制定了术前,术后抗炎和抗血小板治疗和优质护理方案。北京阜外医院派驻云南阜外心血管病医院专家叶绍东主任与病房徐鸥,汤银江主任讨论病情后确定了手术方案。
.png)
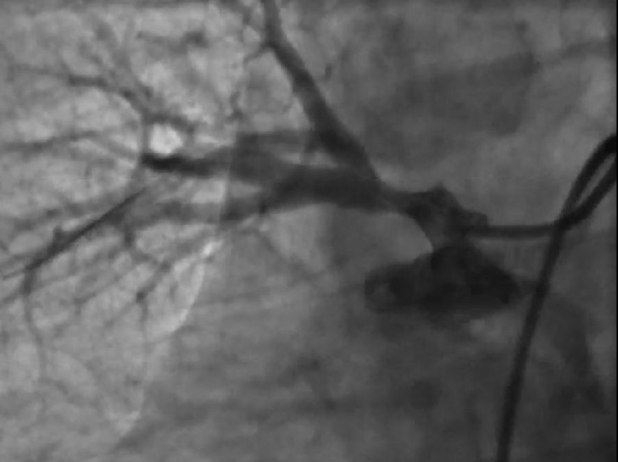
首先选择性肺动脉造影:显示右上肺动脉开口处严重狭窄。
.png)
光学相关成像(OCT)显示右上肺动脉狭窄病变程度与宽度。
针对右上肺动脉狭窄病变采用小球囊逐级扩张,后用相应直径的割球囊再次扩张,达到预期后,再用药物球囊贴壁扩张,释放抗炎,防增生药物,以巩固治疗效果。全程应用肺动脉相控阵血管内超声(IVUS)显示右上肺动脉狭窄病变,同时准确测量需要球囊扩张的靶病变长度,避免血管损害,保证安全性。
.png)
.png)
经治疗后右上肺近端狭窄病变血管经相控阵血管内超声(IVUS)测量明显扩大,血流恢复到正常水平。
.png)


手术顺利成功得到北京阜外医院专家:叶绍东主任、崔成主任、徐晗主任、王欢欢主任共同参与。
云南省阜外心血管病医院肺血管病房是云南省首个以诊治肺动脉高压、肺栓塞等肺血管疾病为主的特色专科病房,目前为省内唯一独立常规开展肺血管微创介入治疗的科室。
本次手术成功实施标志既往需跨省治疗的肺大动脉炎导致肺高血压(PTA-PH) 疑难罕见疾病患者,可实现省内就地手术治疗。同时肺血管团队与北京阜外医院专家手术团队相符交流组成MDT治疗小组,为患者获得最优、安全的整体治疗,提供了保障。
下一篇: 呼吸与肺血管病区成功举办肺血管学术讲坛
阜外院训
敬业 · 仁爱 · 求实 · 攀登
军队文化
对党忠诚,信念坚定,听党指挥,从大局出发,全心全意为人民服务, 注重团队协作,组织纪律严明
协和文化
协和精神:严谨、求精、勤奋、奉献思想内核:崇尚科学、崇尚知识、 专业态度和专业精神表现方式:凝重、内敛、不张扬、重视口碑效应
精英文化
始终以成为行业内精英医院为奋斗目标以【培养国家级心血管病专家为己任】