介入导管室 - 科室动态 - 正文
什么时候选择药物球囊?
时间:2022-05-18
浏览量:17729
我们都知道,植入冠脉支架是治疗冠心病的重要手段,通俗来说是将严重狭窄(70%以上)的冠状动脉扩张,然后植入支架,支撑狭窄部位,恢复管腔通畅。

但是,不是所有情况都适合放支架,对于不适合放支架的血管药物球囊会是一个很好的选择。
1.支架内再狭窄首选药物球囊
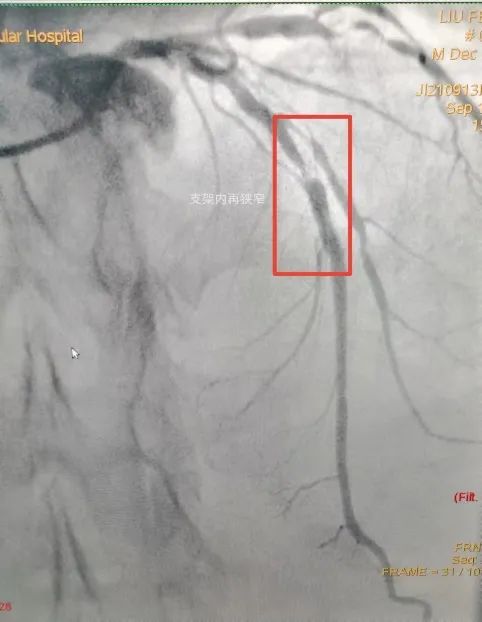
支架内再狭窄是指植入的冠脉支架内或支架两端5毫米节段内,由于血管内皮损伤、内皮功能失调以及新生内膜增殖等原因,导致血管管腔狭窄程度再次超过50%的疾病。由于已经放过支架并且发生了再狭窄,再放支架对于病变来讲并不理想,这时就可以选择药物球囊,通过血管内超声(IVUS)我们可以看到支架内发生了再狭窄,管腔面积不足以维持心脏的供血,患者可能会出现胸闷等症状。
这时我们可以先通过切割球囊来预处理,把支架内的斑块切开,在选择适合的药物球囊贴到病变位置,通常药物球囊要贴45秒以上,它可以把狭窄的血管扩张,并且把药物留在血管壁上。术后造影和ivus都可以看到血管管腔明显改善,达到治疗目的。
.jpg)
.jpg)
2.分支病变
心脏主要由三根大血管供血,分别是前降支,回旋支和右冠,这些大血管上又会发出一些分支,分支有大有小,太小的分支对血流的影响不大,一般不用特殊处理。一些较大的分支出现病变可能会影响供血,但由于分支一般很小,没有合适的支架,或分支口有病变,放支架会影响到主支血管,这样看来都点得不偿失,这时就可以用药物球囊来处理分支,达到治疗目的。
3.有肌桥
肌桥就是冠脉走行到肌肉组织中,由于肌肉的收缩,冠脉也会跟着收缩,如果支架落在肌桥上,肌肉收缩也会挤压支架,长时间下来可能会发生支架内再狭窄。如果肌桥处血管长了斑块需要处理但又放不了支架,这时就可以选择药物球囊。
4.一些特殊的病变
如川崎病引起的血管炎症导致血管狭窄,如图为一位20岁川崎病人的右冠状动脉,近段有一处非常狭窄,考虑到病人年纪尚青,血管炎症又会影响支架的植入,选择用药物球囊治疗,术中用ivus测量了病变处管腔的狭窄程度和长度,选择了适合的药物球囊,术后造影可以看出病变处狭窄明显改善,达到治疗目的。
.jpg)
如今药物球囊的应用越来越多,相比于支架,药物球囊可以做到介入无植入,减少了患者对金属支架植入的后顾之忧,也达到了治疗目的。
文 / 介入导管室 王鑫
编 / 党政综合办 吴佳倚
上一篇: 宝宝心脏里有个小窟窿可咋办?
下一篇: 什么是水化治疗?
阜外院训
敬业 · 仁爱 · 求实 · 攀登
军队文化
对党忠诚,信念坚定,听党指挥,从大局出发,全心全意为人民服务, 注重团队协作,组织纪律严明
协和文化
协和精神:严谨、求精、勤奋、奉献思想内核:崇尚科学、崇尚知识、 专业态度和专业精神表现方式:凝重、内敛、不张扬、重视口碑效应
精英文化
始终以成为行业内精英医院为奋斗目标以【培养国家级心血管病专家为己任】