呼吸与肺血管病区 - 科室动态 - 正文
肺血管病房成功为肺动脉高压患者实施肺动脉球囊扩张成形术
时间:2022-04-20
浏览量:16251
患者杨某某,反复咳嗽、咳痰,喘息,多次于外院就诊,诊断“慢性阻塞性肺病”,经治疗后症状缓解不明显,遂就诊云阜肺血管与综合内科。科室医护团队高度重视,徐鸥主任、汤银江主任及北阜专家孙慧老师仔细查看病人,完善检查,考虑诊断慢性血栓性肺动脉高压,慢性阻塞性肺病,为患者拟定了详细的诊疗方案,经过精心准备,为患者进行了右心导管检查及肺动脉造影,术中针对肺血管病变情况,行肺动脉球囊扩张成形术(BPA)。
术者徐鸥主任、汤银江主任行肺动脉球囊扩张成形术(BPA)
.png)
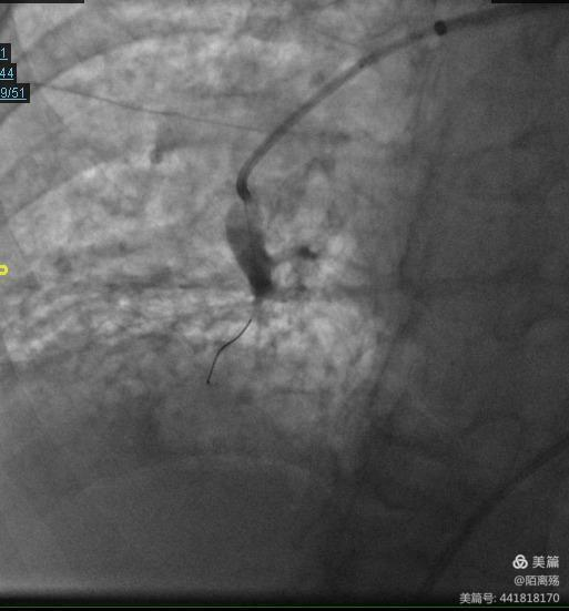
机化血栓狭窄病变血管部位行肺动脉造影示图。
.png)
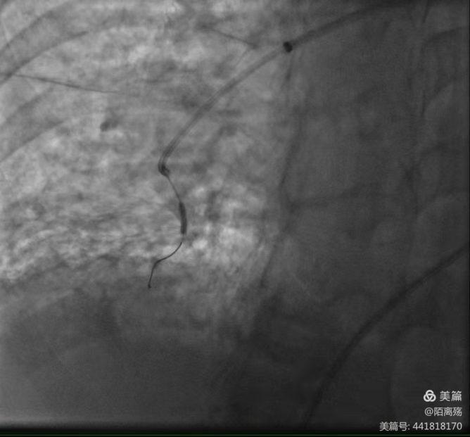
导丝沿着鞘管或引入导管送入肺动脉内,通过机化血栓狭窄病变至远端,接着沿导丝送入适合管腔大小的球囊。
.png)
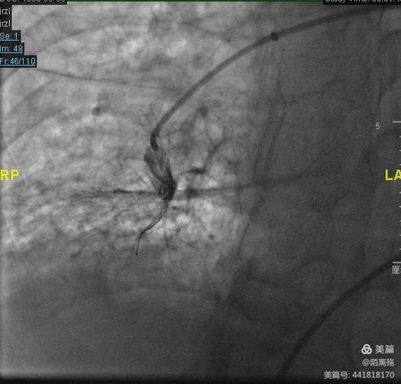
球囊确定在狭窄病变部位后,接上压力泵后,逐渐增加压力使球囊膨胀,切断狭窄血管腔里面网状的血栓,挤压机化血栓至血管壁,达到扩大狭窄肺动脉内的管径面积,增加通畅性,改善肺动脉的血流。
.png)
患者经肺血管球囊扩张成形术(BPA)后血氧饱和度由85%上升至93%,右心导管下肺动脉平均压由57降至48mmHg,成功开通病变肺血管血流。
术后患者安返病房,给予患者术后健康宣教及优质护理,患者诉胸闷,气喘缓解。
.png)
慢性血栓性肺动脉高压(CTEP)是由于急性肺动脉栓塞血栓未能完全吸收发生机化,进而肺动脉狭窄、闭塞,导致慢性持续性肺动脉高压,最终导致右心衰竭,预后极差。目前治疗方法包括药物治疗,主干肺动脉病变采用肺动脉内膜剥脱术,亚段病变采用肺动脉球囊扩张成形术(BPA)。
.png)
BPA治疗CTEPH的机制主要是利用球囊开通闭塞及狭窄的肺动脉,扩张后可恢复肺动脉支配区域的血流,从而整体降低肺动脉压力和肺血管阻力进而减轻右心室负荷,提高患者心肺运动能力。目前采用的方法多为小球囊逐步扩张,经过技术的优化,肺水肿,肺动脉损伤等发生率明显减少。对于CTEPH患者来说,BPA治疗安全有效,是可供选择的治疗方法。
.png)
云阜肺血管与综合内科是云南省首个以诊治肺动脉高压、肺栓塞等肺血管疾病为主的特色专科病房,科室自成立以来,得到国家心血管病中心、北京阜外医院肺血管病区各位老师的大力支持和云南阜外医院各位院领导重视及支持,科室医护团队与北阜医疗专家共同工作,执行和应用北京阜外医院几十年的肺血管疾病诊断与治疗流程和成功经验,该病房的成立使我省肺血管疾病的诊治水平又向专业化、精细化方向迈进一大步。
阜外院训
敬业 · 仁爱 · 求实 · 攀登
军队文化
对党忠诚,信念坚定,听党指挥,从大局出发,全心全意为人民服务, 注重团队协作,组织纪律严明
协和文化
协和精神:严谨、求精、勤奋、奉献思想内核:崇尚科学、崇尚知识、 专业态度和专业精神表现方式:凝重、内敛、不张扬、重视口碑效应
精英文化
始终以成为行业内精英医院为奋斗目标以【培养国家级心血管病专家为己任】