冠心病一病区 - 科室动态 - 正文
【患者故事】终于等到你,哪怕相隔千里
时间:2021-04-05
浏览量:17714
在这樱花盛开时节,云南省阜外心血管病医院(简称云南省阜外医院)冠心病一病区来了一位远道而来的患者朋友,刘女士(化名)了解到自己多年前的手术主刀大夫——中国医学科学院阜外医院(简称医科院阜外医院)的高立建主任来到了美丽的彩云之南,立马从两千公里以外的安徽赶到云南,踏上了她的就医之旅。
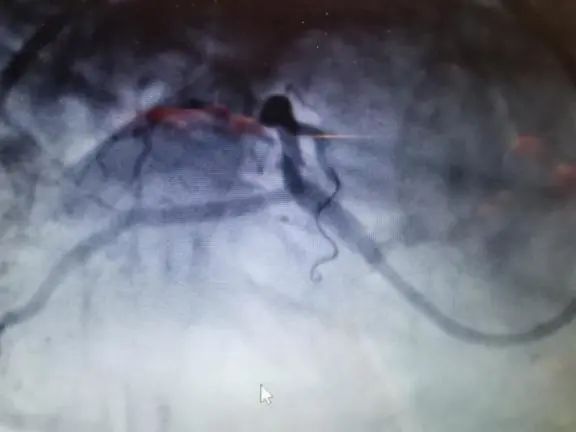
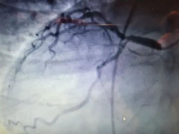
2019年11月,刘女士因反复发作心绞痛在当地医院行冠脉造影,但因该患者为右位心,血管病变复杂、手术难度大,当地多家医院均拒绝为她手术,患者经过多方打听,慕名来到医科院阜外医院,由高立建主任团队成功处理右冠病变,手术非常成功,患者的症状也得到了改善,当时患者左冠脉还有病变,还需要二次处理。但2020年因为疫情原因,刘女士难以远赴新疆找到当时在援疆的高主任开展手术治疗,只能保持线上随访联系。近期,她再次出现了胸闷不适的症状,听闻高立建主任来到云南省阜外医院指导工作,立即千里迢迢从安徽直奔而来,在我院冠心病一病区进一步住院治疗。
“第一次来到云南,就是为了来看病,还好有主任专家们和护理人员的精心治疗和指导康复”刘女士说,在云南省阜外医院,感受到了家一般的温暖。高主任每天亲自查房,细心查体和沟通,调整治疗方案,病房医生护士小姐姐们每天细心照顾。3月9日,在高立建主任、杨敏主任、王勇教授以及云阜冠心病一病区齐峰主任团队共同为患者实施IVUS指导下介入手术。虽然患者冠脉钙化和斑块负荷重,手术过程耗时将近3小时,处理了多支血管,但术后症状明显缓解,“感谢高主任和专家们治愈了我的疾病,我还想在美丽的云南昆明再看看”刘女士带着喜悦的心情顺利出院。
.jpg)
.jpg)
................................................................................
.jpg)
.jpg)
云南省阜外医院冠心病中心专家团队由医科院阜外医院派驻的专家及省内多名知名专家组成。目前常规开展各种冠脉造影、冠状动脉成形及支架术,血管内超声(IVUS)、光学相干断层成像(OCT)、冠状动脉旋磨、冠脉内斑块激光销蚀术(ELCA)、药物球囊应用、生物可降解支架、桥血管介入治疗、肥厚梗阻型心肌病心肌化学消融术等多项介入诊疗工作。冠心病诊疗中的各项介入治疗技术均达到国内领先水平,肥厚型梗阻性心肌病化学消融术、分叉病变、钙化病变、慢性闭塞病变(CTO)及左主干等冠脉复杂高危病变的介入治疗达国际先进水平。

高立建 副主任医师 云南省阜外医院门诊时间:周一、周三、周四上午
擅长:冠心病介入治疗,擅长冠脉复杂病变的介入治疗,掌握激光技术在冠心病介入治疗。
上一篇: 双优并行暖人心--“手卫生”及传染病基础防范健康宣教走进病区
下一篇: 没有了!
阜外院训
敬业 · 仁爱 · 求实 · 攀登
军队文化
对党忠诚,信念坚定,听党指挥,从大局出发,全心全意为人民服务, 注重团队协作,组织纪律严明
协和文化
协和精神:严谨、求精、勤奋、奉献思想内核:崇尚科学、崇尚知识、 专业态度和专业精神表现方式:凝重、内敛、不张扬、重视口碑效应
精英文化
始终以成为行业内精英医院为奋斗目标以【培养国家级心血管病专家为己任】