核医学科 - 科室动态 - 正文
知识科普 | 答患者问:体内有金属能做PET/CT吗?
时间:2025-12-29
浏览量:6343
植入钢板、人工关节、牙科植入物……现代医学中,金属材料的使用已变得十分普遍。然而,随着核医学检查的普及,许多患者会担心:身上有金属会不会影响PET/CT的检查结果?
今天,我们就来解答这些问题,帮助您更好地了解核医学检查中金属对检查的影响,让您在检查前不再有疑虑。

先说结论:体内有金属植入物通常是可以进行PET/CT检查的。金属植入物不会直接影响PET成像,但可能会对CT成像产生影响,PET图像依赖CT图像做定位,所以PET/CT的融合图像可能会受影响。但现代PET/CT设备配备了先进的技术,能够有效降低金属对CT图像的干扰,从而确保检查的准确性。

体内心脏起搏器导致的伪影
a.CT图像;b.经CT衰减校正的PET图像;
c.CT融合图像;d.未经CT衰减校正的图像
(病例来源:陈蕾蕾,陈自谦,许尚文,肖慧,钟群,付丽媛,钱根年.PET/CT显像常见伪影及质量控制[J]中国医疗设备.2019.34(02):17-24.)
金属不影响示踪剂的吸收:核医学检查依赖示踪剂在体内的代谢情况,如18F-FDG在肿瘤细胞或其他组织的摄取。金属物质并不会改变示踪剂在体内的分布和吸收。
金属不会影响PET图像获取:PET扫描通过探测体内释放的伽马射线来生成图像,金属不会像X射线扫描那样“吸收”或“屏蔽”辐射信号,因而不会影响PET图像的获取。
X射线与金属的相互作用:CT成像使用X射线穿透人体,通过测量不同组织对X射线的吸收程度来生成图像。金属物质对X射线有强烈的吸收作用,会显著改变X射线的传播路径。这种相互作用会导致金属周围的区域出现“伪影”,影响病变区域的观察和定位。
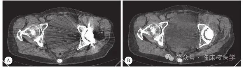
金属产生的伪影:大型或密度较大的金属物质(如人工关节、心脏支架、钢板等)在CT图像中容易产生伪影,尤其是金属周围的结构容易失真,影响医生对周围组织的判断。这些伪影可能影响到金属附近的器官或组织的准确诊断,尤其是在肿瘤定位、心脏病检查等高精度要求的场景中。

A:金属伪影例图(图片来源:北京右安门医院肿瘤中心)
金属伪影校正算法:现代PET/CT设备配备了先进的金属伪影校正技术,通过数学算法减少金属物质对图像的干扰。这些算法能自动检测图像中的金属物体,并将伪影部分进行校正,从而提供更准确的CT图像。
调整扫描参数:在进行检查前,医生可以根据患者的金属植入物的具体位置,调整扫描的参数,以减少伪影的影响。通过优化扫描方式减少金属对图像质量的干扰。
在进行PET/CT检查前,为确保检查顺利进行并得到准确结果,患者需要做到:告知、摘除、冷静。
这包括但不限于:牙科植入物(如假牙、牙冠、种植牙等)、骨科植入物(如人工关节、钢板、螺钉等)、其他金属物品(如宫内节育器、心脏支架等)。提前告知医生这些信息,可以帮助工作人员判断如何避免金属对检查的影响,或采取相应的图像处理措施。
检查前取下可摘戴的假牙和所有金属饰品(如项链、耳环、戒指等),避免金属对影像质量的干扰。
检查过程中,移动可能导致图像模糊,所以患者需保持身体尽可能不动。如果患者体内有金属植入物,保持静止尤为重要,以确保PET和CT图像的融合结果准确无误。为确保图像质量,尤其是在金属附近的病灶检查时,可能会使用图像伪影校正功能。

总结一下:
体内有金属植入物是可以进行PET/CT检查的,但患者需要在接受核医学检查前,向医生提供有关金属植入物的详细信息(如类型、材质、位置等),以确保医生能够根据具体情况选择最佳的检查方案,确保检查顺利进行。
文章来源:转发自公众号临床核医学
地址链接:https://mp.weixin.qq.com/s/fWh6SNqi-P3ksTgmSj8rNA
上一篇: 没有了!
阜外院训
敬业 · 仁爱 · 求实 · 攀登
军队文化
对党忠诚,信念坚定,听党指挥,从大局出发,全心全意为人民服务, 注重团队协作,组织纪律严明
协和文化
协和精神:严谨、求精、勤奋、奉献思想内核:崇尚科学、崇尚知识、 专业态度和专业精神表现方式:凝重、内敛、不张扬、重视口碑效应
精英文化
始终以成为行业内精英医院为奋斗目标以【培养国家级心血管病专家为己任】