核医学科 - 科室动态 - 正文
血的教训!做PETCT前这些事一定不能做……
时间:2025-11-27
浏览量:283
明天就要做PET/CT检查了,你是不是还在犹豫早餐能不能吃?你是不是听说“只要别吃太油就行”?或者“吃点小面包没关系”?
健身狂热者,一天都不能停,哪怕明天就要做PET……
错!这些都可能毁掉一次关键的检查。
为什么PET/CT检查前必须空腹?
为什么不能剧烈运动?
PET/CT检查使用的是一种“放射性葡萄糖”——18F-FDG。这种药物会模拟体内正常葡萄糖进入细胞的方式来“寻找”那些对糖分特别“渴望”的组织,比如癌细胞。
如果你吃了饭,血糖升高,胰岛素分泌增加,就会把这些“放射性葡萄糖”误导进肌肉、脂肪甚至心脏,让真正的“异常区域”反而看不清。
剧烈运动后骨骼肌对FDG摄取增加,导致真正的病灶反而不能摄取FDG。
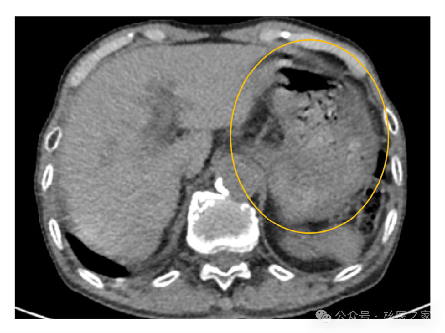
一位89岁男性,有肺癌手术及放疗史,PET/CT检查。检查前,患者同意空腹6小时。然而,在PET/CT检查前测得其血糖为153 mg/dL。影像结果显示全身骨骼肌摄取显著增强,最大标准摄取(SUVmax)达5.2(图1)。

图1.患者PET/CT图像。全身骨骼肌中可见高浓度的¹⁸F-氟脱氧葡糖(FDG)摄取。同时,在右下肺叶可见一处病灶亦有FDG积聚(黄色圆圈区域),考虑为肺癌复发病灶。
患者无糖尿病史,无肌肉相关症状,亦无包括肌炎在内的结缔组织病。同时,检查当日及前一日均未进行运动。胃内容物充盈明显(图2),提示其在检查前可能进食。尽管患者自述空腹,但考虑其高龄,可能遗忘了禁食要求。
.png)
图2.大量胃内容物
实际上,检查前除了不能进食之外,也不能做剧烈运动。
50岁黑色素瘤患者,行PET/CT检查前进行体育锻炼,导致双侧胸大肌强烈摄取(图3)。
.png)
图3.双侧胸大肌明显摄取FDG
实际上,不同的锻炼部位在PET/CT上一目了然;更有甚者有些健身狂热者6年如一日(图4)!
.png)
图4.双侧上肢肌显著摄取FDG(前后6年惊人一致)
这些案例提示:PET/CT前的严格禁食、禁止剧烈运动对图像质量与诊断准确性至关重要,尤其在老年患者和健身狂热者中,需加强医护交代与家属监督。
误判肿瘤是否存在或大小(假阴性)
误将正常组织误判为病灶(假阳性)
导致医生建议不准确,甚至影响手术方案
极端情况下:检查无法判读,白做!
检查前至少空腹6小时(不能吃任何食物)
可以少量饮水(白开水)
检查当天早上禁止喝含糖饮料、咖啡、奶茶
糖尿病患者请提前与医生沟通用药和饮食调整方案
检查前24小时内禁止剧烈运动;注射药物后封闭视听、平静休息
文章来源:转发自公众号核医之家
地址链接:https://mp.weixin.qq.com/s/by1edG4LXK4azEXuaGYDjA
上一篇: 没有了!
阜外院训
敬业 · 仁爱 · 求实 · 攀登
军队文化
对党忠诚,信念坚定,听党指挥,从大局出发,全心全意为人民服务, 注重团队协作,组织纪律严明
协和文化
协和精神:严谨、求精、勤奋、奉献思想内核:崇尚科学、崇尚知识、 专业态度和专业精神表现方式:凝重、内敛、不张扬、重视口碑效应
精英文化
始终以成为行业内精英医院为奋斗目标以【培养国家级心血管病专家为己任】